ENFERMEDAD DE PERTHES.
Síntomas, diagnóstico, tratamiento, pronóstico, causas… de la enfermedad de Perthes.
Estas son algunas preguntas frecuentes:
¿QUÉ ES?
La enfermedad de LCP fue descrita hacia 1910 por Arthur Legg en Estados Unidos, Georg Perthes en Alemania, y Jacques Calvé en Francia.
Es una necrosis avascular en la cabeza del fémur causada por la falta de riego sanguíneo.
¿CUÁL ES LA CAUSA?
Su origen desconocido. Se habla de un posible origen vascular.
En algunas familias hay varios casos, lo que indica algún tipo de predisposición, aunque no hay estudios suficientes para poder asegurarlo.
¿A QUIÉN AFECTA?
Se presenta más en varones (por cada 4 niños, 1 niña).
Edad entre 3 y 12 años pero con una mayoría en torno a los 6-8 años.
Generalmente afecta a una de las caderas pero puede ser bilateral en un 10-15% de los casos y no en el mismo momento.
¿CUÁLES SON LOS SÍNTOMAS QUE NOS PUEDEN HACER PENSAR EN UN POSIBLE PERTHES?
El síntoma más común es la cojera.
El pediatra suele diagnosticar una sinovitis que puede pasar con reposo y antiinflamatorio, pero el niño vuelve a cojear.
Rigidez en la cadera, restricción de movimiento, dolor de rodilla, muslo o ingle.
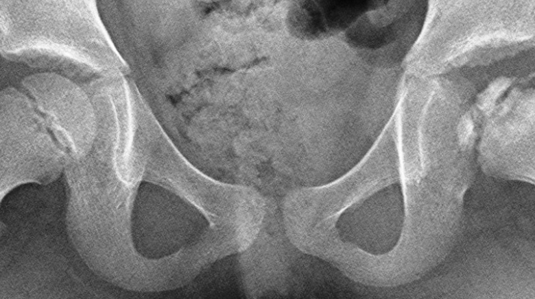
¿CÓMO SE DIAGNOSTICA?
Exploración, donde se observa limitación en los movimientos de cadera.
Radiografía (aunque en los primeros RX puede no manifestarse).
En algunas ocasiones se realiza resonancia magnética para confirmar el diagnóstico.
¿CUÁLES SON LAS FASES DE LA ENFERMEDAD?
Tras la necrosis, la cabeza del fémur se aplana, después el hueso se fragmenta y posteriormente comienza la regeneración.
El suministro de sangre retorna en varios meses produciendo osteocitos nuevos, los cuales gradualmente reemplazan el hueso muerto y la cabeza del fémur comienza a formarse otra vez.
¿QUÉ HACER SI MI HIJO TIENE PERTHES?
Lo más importante es ponerse en manos de un buen traumatólogo infantil.
Las pautas en la etapa inicial son: NO CORRER, NO SALTAR, NO DEPORTES DE IMPACTO (la natación es el deporte más recomendable).
¿CÓMO SE TRATA LA ENFERMEDAD DE LEGG-CALVÉ-PERTHES?
El objetivo es conseguir que la cabeza del fémur crezca lo más redondeada posible, no se salga del acetábulo y tenga buena movilidad.
El traumatólogo irá proponiendo revisiones cada pocos meses; observará nuevas radiografías y dará las pautas a seguir.
En ocasiones aconsejará fisioterapia para evitar las contracturas. Dependiendo de cómo vaya evolucionando cada fase, así se irá actuando.
Si hay signos de riesgo existen diferentes tipos de tratamientos quirúrgicos, ya sea para mantener la cabeza del fémur dentro del acetábulo,
para agrandar el acetábulo, para evitar que la cadera colapse, etc.
Los aparatos ortopédicos están en desuso, no se ha comprobado que sean eficaces.
¿CUÁL ES EL PRONÓSTICO?
En el 80% de los casos el pronóstico es BUENO.
La recuperación es mejor cuando se diagnostica a menor edad, pero también depende del grado de afectación y la eficacia del tratamiento.
¿CUÁL ES LA INCIDENCIA DE LA ENFERMEDAD DE PERTHES EN ESPAÑA?
Este estudio realizado en España en 2022 dice que “la incidencia de ELCP en esta población mediterránea de un área industrial fue de 1,59 casos por 100.000 habitantes-año“.

¿QUÉ DEBES SABER SOBRE LA ENFERMEDAD DE LEGG-CALVÉ-PERTHES?
Como padre o madre de un niño al que acaban de diagnosticar la Enfermedad de Legg-Calve-Perthes, debes saber:
- Encontrarse con esta enfermedad asusta bastante al principio, pero tener un DIAGNÓSTICO ya es positivo.
- Busca un buen TRAUMATÓLOGO INFANTIL experto en Perthes y sigue sus pautas.
- El camino va a ser largo, pero la mayoría de los casos tienen un BUEN FINAL.
- Entiende que en esta enfermedad es muy importante la PACIENCIA, no existen tratamientos milagrosos.
- INFÓRMATE sobre la enfermedad, pero de fuentes fiables y actualizadas.
- CADA CASO Y CADA FASE ES DIFERENTE.
- Intenta cuidar la parte FÍSICA y también la parte PSICOLÓGICA de tu hijo/a y de toda la familia.
- El niño/a pasa muchas horas en el COLEGIO, hazles partícipes.
- Conocer a OTRAS FAMILIAS te hará comprender la enfermedad y te ayudará en el día a día con consejos de quien ya ha pasado por tu misma situación.
- En la ASOCIACIÓN ASFAPE estamos en contacto con los mejores profesionales y compartimos con los socios todo nuestro conocimiento, asóciate.

¿CUÁNDO DEBES SOSPECHAR?
Si te encuentras en alguna de estas situaciones pregúntanos.
1. “Nos está tratando presidente@asfape.orgun excelente TRAUMATÓLOGO DE ADULTOS del que nos han hablado muy bien”.
No dudamos que así sea y por supuesto esto no depende de títulos sino de personas, pero el Perthes es una enfermedad infantil, por tanto lo lógico es que sea tratada por un TRAUMATÓLOGO INFANTIL. Más aún, el Perthes es una enfermedad poco frecuente por lo que en algunas poblaciones el número de casos que se ven en consulta son pocos. Cuanta mas experiencia se tenga en Perthes mejor y si no se tiene, lo mas ético sería que deriven el caso a otro traumatólogo o a otro centro.
2. “Me decían que eran DOLORES DE CRECIMIENTO…” “ el niño se quejaba de la rodilla hasta que por casualidad le miraron la cadera y apareció el Perthes” ”me decían que tenía celos… que QUERÍA LLAMAR LA ATENCIÓN”.
Nosotros conocemos a nuestros hijos y les observamos cada día, si intuimos que algo no va bien debemos INSISTIR.
3. “Le han mandado una GAMMAGRAFÍA para estar seguros”
En Perthes la prueba que nos deben mandar es la RADIOGRAFÍA y solo en algunos casos la RM para tener mas información o para descartar otras enfermedades.
4. “A mi hija le han puesto un APARATO ORTOPÉDICO”
Los tratamientos para esta enfermedad han variado mucho en los últimos años. Si nos pautan algo así es mejor pedir una segunda opinión.
5. “Es muy pequeño = BUEN PRONÓSTCO”. “Es una niña=MAL PRONÓSTICO”. o te dicen “Quedará cojo para toda la vida” o “No podrá hacer deporte”
Ni te relajes en un caso ni te asustes en los otros, debemos desterrar estos mitos, en Perthes nada es tan matemático, depende de cada caso y de lo eficaz del tratamiento.
6. “Llevamos un año sin REVISIÓN” o “no le manda RX” o “No le mira, no le mide”
En las primeras fases de la enfermedad las revisiones deben ser cada 3 meses, después cada 6, luego cada año… Lo normal es que valoren la radiografía en AP y Axial y también la movilidad activa y pasiva.
7. “El traumatólogo dice que HAY QUE ESPERAR y después cuando sea mayor ya veremos”
La mayoría de los Perthes evolucionan bien sin hacer nada y solo hay que observar, pero otros no, y en esos casos si dejamos que el tiempo pase ya no tratarán el Perthes, sino sus secuelas, que es mucho mas complicado.
8. “Ya puede hacer vida normal, NOS HAN DADO EL ALTA, qué mejor regalo en su 10 cumpleaños”
La noticia es estupenda, hacer vida normal es para nosotros el final de una etapa muy dura, pero el camino sigue, un niño no deja de crecer a esa edad y por tanto los controles aunque mas espaciados deben seguir hasta el final de su crecimiento.
9. “Me dijeron QUE NO MIRE EN INTERNET” o ”Nuestro traumatólogo NO NOS EXPLICA NADA”
Esta recomendación tiene una parte de razón porque hay información desfasada y casos que nos pueden asustar y no ayudan, pero hoy en día todos vamos a buscar en internet y la parte buena es que eso nos permite por ejemplo llegar a asociaciones, leer publicaciones especializadas, encontrar eventos que nos pueden interesar, conocer experiencias similares etc. Si queremos ayudar a las familias la solución no es decir “no busques” sino “busca en”.
Hoy en día la relación médico-paciente ha cambiado, las familias queremos estar bien informadas y sentir que se nos dedica tiempo.
10. “Hemos cambiado de traumatólogo porque le quería operar y NOSOTROS NO LO TENEMOS CLARO”
Debemos buscar un traumatólogo infantil con experiencia y que nos transmita confianza, pero que esa elección no esté basada en “lo que queremos oír”. Cirugía, quirófano, anestesia, son palabras que nos dan mucho miedo, pero mas miedo debería darnos no hacer ahora todo lo que está en nuestra mano. El Perthes terminará, pero si quedan secuelas en la edad adulta pueden afectar a su vida, laboral, familiar, social…
PREPARATE PARA LA CONSULTA CON EL TRAUMATÓLOGO Apunta tus dudas y todo lo que le quieres preguntar para que en ese momento no se te olvide. Una vez allí anota también las palabras que te diga y no entiendas bien, pídele que te explique, hacerse con el vocabulario de esta enfermedad requiere un esfuerzo.


