Asociación de Familias con Perthes

Asociación de Familias con Perthes

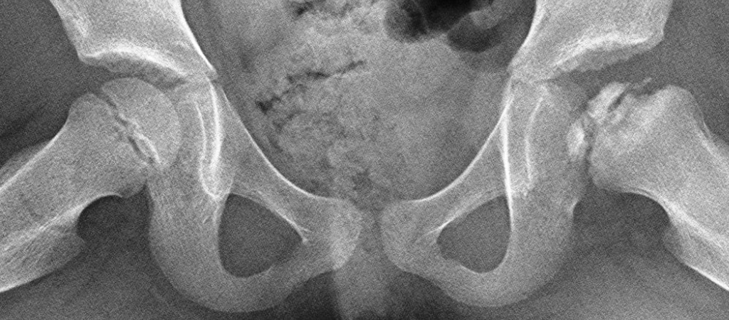
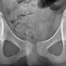
La enfermedad de Perthes afecta a la cadera infantil. Es una necrosis en la cabeza del fémur causada por la falta de riego sanguíneo. Se presenta más en varones (por cada 4 niños, 1 niña), entre 3 y 12 años pero con una mayoría en torno a los 6-8 años. En ocasiones puede ser bilateral. El síntoma más común es la cojera, restricción de movimiento, dolor de rodilla, muslo o ingle. Si tu hij@ tiene alguno de estos síntomas, acude a un traumatólogo infantil para que le explore. HAZTE SOCIO. En ASFAPE te ofrecemos información actualizada y contacto con otras familias con las que compartir experiencias, además de diferentes eventos con expertos en Perthes. Aunque un gran porcentaje de casos evolucionan bien, es una enfermedad que dura varios años, una enfermedad poco frecuente, de causa desconocida y que en ocasiones puede dejar secuelas en la vida adulta.

10 AÑOS ASFAPE

Organización sin ánimo de lucro
Organización sin ánimo de lucro

en España desde.

Organización sin ánimo de lucro

en España desde…

en España desde hace 10 años. Con el objetivo de mejorar todo lo relacionado con la enfermedad de Legg-Calvé-Perthes. ASFAPE…

ASFAPE familias y adultos con Perthes
Somos familias y adultos afectados

encuentros, convivencias, proyectos.

Somos familias y adultos afectados

encuentros, convivencias, proyectos…

encuentros, convivencias, proyectos de difusión o actividades benéficas... Somos una asociación de familias y de adultos afectados por la enfermedad…

Expertos en Enfermedad de Perthes
Expertos en Enfermedad de Perthes

congresos, charlas on.

Expertos en Enfermedad de Perthes

congresos, charlas on…

congresos, charlas on line, manual de colegios... Contamos con la colaboración de expertos en Enfermedad de Perthes; traumatólogos, fisioterapeutas, psicólogo...…

Niños con Enfermedad de Perthes
Los niños, nuestros protagonistas

cuentos, pasatiempos, campamento,.

Los niños, nuestros protagonistas

cuentos, pasatiempos, campamento,…

cuentos, pasatiempos, campamento, hacer amigos... Los niños son los verdaderos protagonistas y la base de la existencia de esta asociación.…

1 Dar difusión del Perthes
2 Informar a las familias
3 Compartir experiencias
4 Fomentar la investigación

BLOG ASFAPE

Juntos por la Enfermedad de Legg-Calvé-Perthes

Perthes en el Instituto Vega del Jarama en San Fernando de Henares

ASFAPE en el Instituto

Miércoles 25 de marzo de 2026. En el IES La...

LEER MAS...
Taller de psicología en Perthes - Zaragoza

Taller psicología… Zaragoza

Jueves 26 de marzo y 16 de abril en Zaragoza....

LEER MAS...
webinar PERTHES Y DERECHOS, con Campmany Abogados

Webinar Perthes y derechos

Jueves 12 de marzo, con Campmany Abogados. De 17:00 a...

LEER MAS...

Enfermedad de Legg-Calvé-Perthes

CONTÁCTANOS
© 2014-2026 ASFAPE .Política de privacidadBenevolent | Desarrollado por Rara Themes. Funciona con WordPress.
Enfermedad de Perthes - ASFAPE
Resumen de privacidad

Esta web utiliza cookies para que podamos ofrecerte la mejor experiencia de usuario posible. La información de las cookies se almacena en tu navegador y realiza funciones tales como reconocerte cuando vuelves a nuestra web o ayudar a nuestro equipo a comprender qué secciones de la web encuentras más interesantes y útiles. Pa ra más información no dude en leer nuestra Política de Privacidad